CROWN LENGTHENING


Crown lengthening is a common surgical procedure in which Dr. Patla removes a small amount of gum tissue, bone or both in order to better expose more of a tooth.
Reshaping the gum and supporting tissues allows the room for Dr. Patla to place the final restoration.

Final restorations may be placed if the front teeth are too short or of an uneven length as well.
Soft Tissue Graft

Ridge Modification
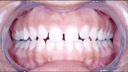
TEETH WHITENING
As we age and expose our teeth to different dietary items, our enamel can wear down. This wearing can allow dentin, a yellow substance at the core of our teeth, to shine through. This, as well as exposure to staining foods and drinks, can give our teeth a yellowish or dark tint. Teeth whitening from our Holmdel office can help restore the vibrancy and white color of your smile through the use of professional strength medical bleach. Ask Dr. Patla at your next appointment about what teeth whitening can do for your smile!

*Source:

